Can a doctor give you a prescription for a tooth infection?
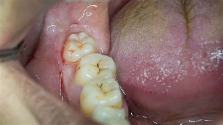
Clindamycin. In some cases, the bacteria causing your tooth infection can be resistant to amoxicillin. If so, your dentist may prescribe clindamycin. Or, ...
The Administrator account is the most powerful account in the domain. It is given domain-wide access and administrative rights to administer the computer and the domain, and it has the most extensi...
Read Full Story
Clindamycin. In some cases, the bacteria causing your tooth infection can be resistant to amoxicillin. If so, your dentist may prescribe clindamycin. Or, ...
Rebar is not necessary for every concrete project. The general rule of thumb is that if you are pouring concrete that is more than 5 inches in depth, you ...
Videos that get between 1000–3000 views mean you have a mid-tier account. Videos that get 10,000+ views mean you have a “head” account. Viewing completion...
The simple answer is, yes, you can have two maids of honor at your wedding. Modern weddings have become more flexible with tradition, and many couples are...
Gently examining the tooth is the best way to tell. If enamel is missing, then there will be a small area of roughness on the tooth. Finally, give your de...
Firstly, unlike chemical peels, Hydrafacial is a non-invasive skin rejuvenation treatment. Hydrafacial and chemical peels both exfoliate your skin but unl...
Don't participate in the lesson.Doodle in a notebook instead of taking notes.Surf the internet on your tablet or laptop.Put your head down on your de...
Dropping a class is much better for your GPA than failing a class or getting a C or D in it is because a dropped class does not affect your grade point av...
Treelands is a game developed by Fissy Games where you build a treehouse by using currency earned from selling fruit and completing tasks to build fruit h...
The easiest way to tell if your baby is too hot or too cold is by feeling the nape of the neck to see if it's sweaty or cold to the touch. When babie...
MK (Marks) – Any and all cards with writing, ink marks, pencil marks, etc. or evidence of the impression left from the act of writing will be designated “...
Fortunately, you have plenty of gluten-free options for the more conventional condiments, too:Ketchup.Mustard.Salsa.Mayonnaise.Hot sauce.Soy sauce.Barbecu...